
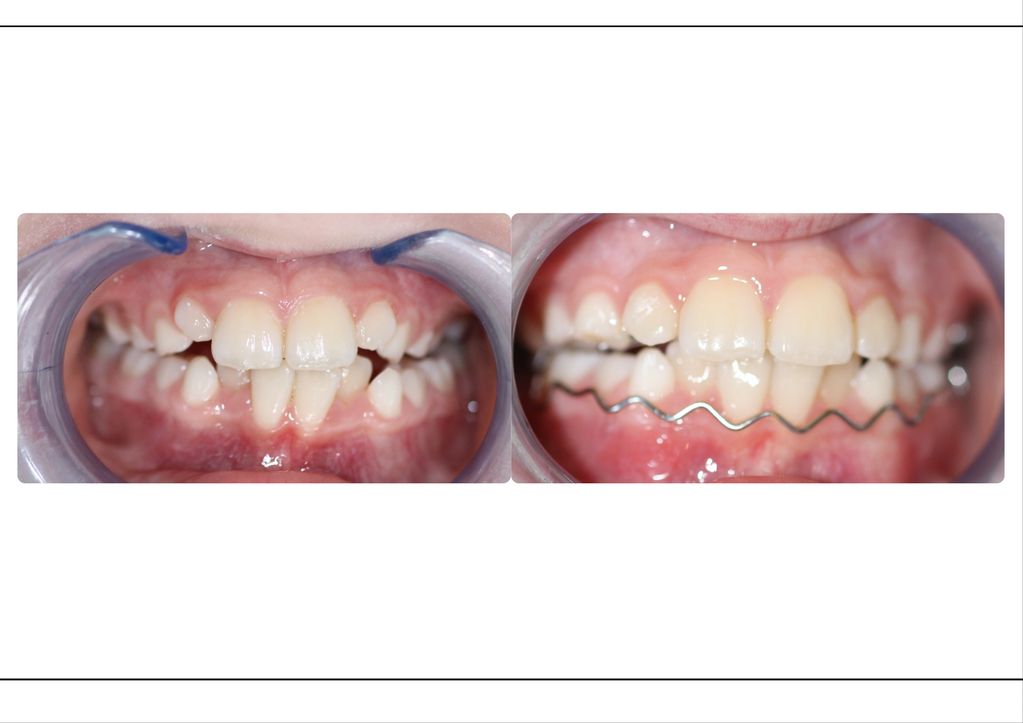
The ALF is comfortable, easy to clean and almost invisible to observers. The ALF design is commonly used for growth and development. It is the safest
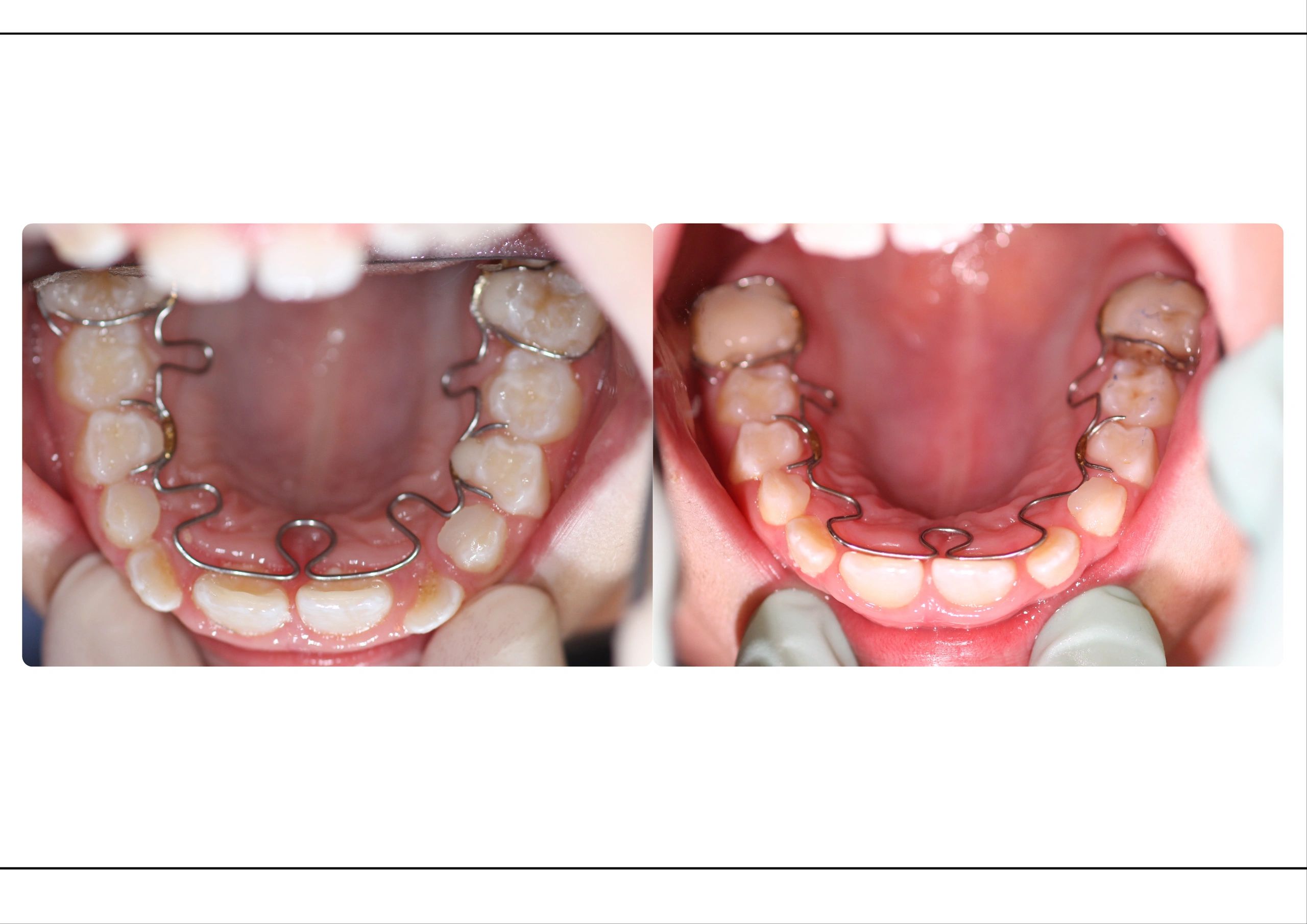
The ALF was developed by Dr Darick Nordstrom DDS. The ALF treatment involves the gentle harnessing or redirecting of muscle parafunction to resolve skeletal problems.

The ALF is barely visible to observers, easy to wear and more hygienic to maintain than most other dental and orthodontic appliances.
The ALF is one of the very few dental appliances that provide adequate room for the tongue and is unique in its ability to encourage improved tongue function.

The ALF is the safest functional appliance to use because the light forces do not overwhelm the dental bone. "Weak stimuli increase physiological activity and very strong stimuli inhibit or abolish activity" The Arndt-Schulz Law

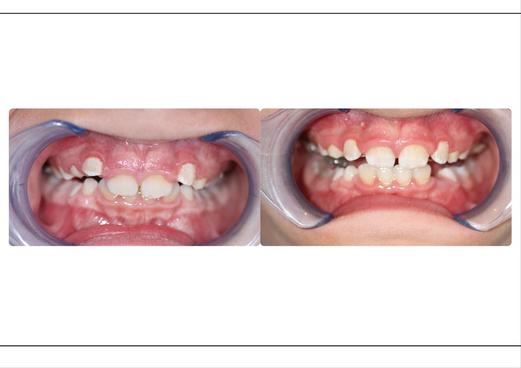
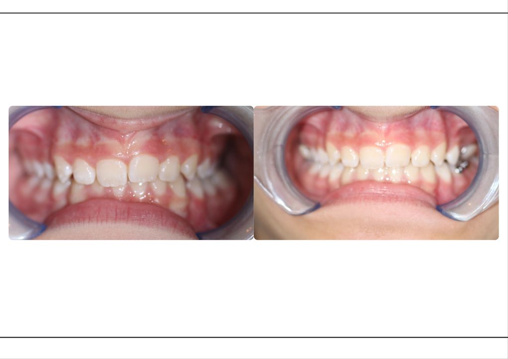
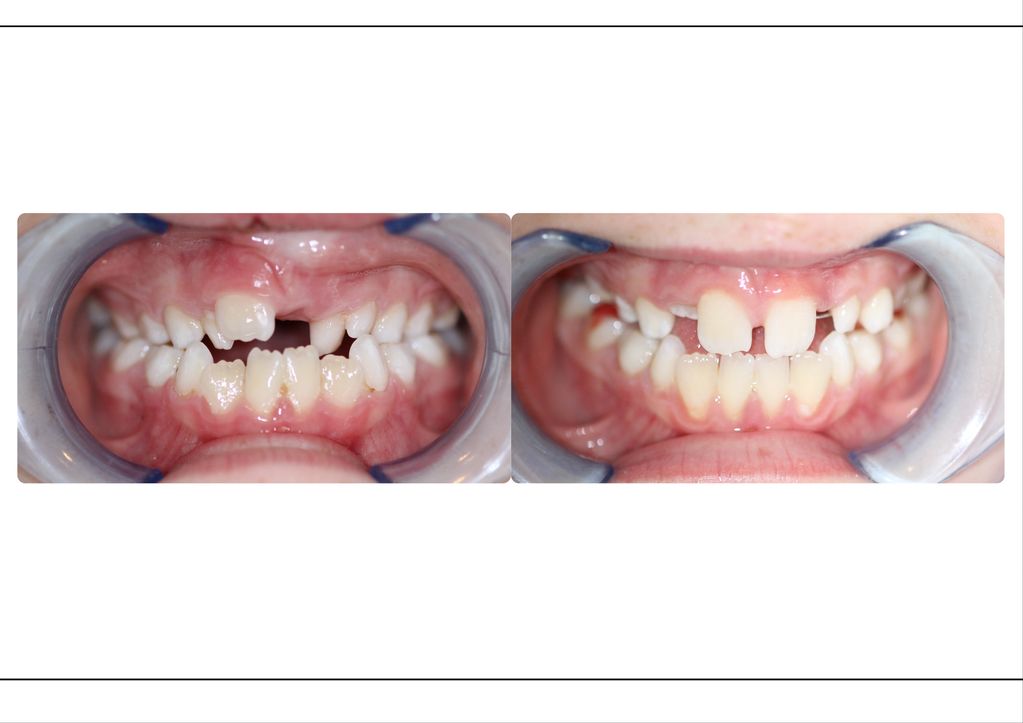
Restoring Symmetry and providing a framework for the soft tissues of the face.

Substantial realignment can be achieved over time, in this case lower jaw responds automatically to just treating the upper jaw with ALF.